Chuyên mục
Nga triển khai hệ thống AI y tế lớn nhất thế giới: Bước ngoặt chiến lược trong chăm sóc sức khỏe quốc gia

Nga triển khai hệ thống AI y tế lớn nhất thế giới: Bước ngoặt chiến lược trong chăm sóc sức khỏe quốc gia

Thứ bảy 06/12/2025 17:36 GMT + 7

Moskva – Nga vừa khẳng định vị thế dẫn đầu toàn cầu trong lĩnh vực y tế số khi đưa vào vận hành hệ thống trí tuệ nhân tạo y học (AMI) quy mô quốc gia đầu tiên trên thế giới, kết nối toàn bộ bệnh viện tại 89 vùng lãnh thổ với hơn 143 triệu dân.

 

 

 


 

Hệ thống này – MosMedAI – được triển khai theo Sắc lệnh của Tổng thống Liên bang Nga, đánh dấu một cột mốc lịch sử trong chuyển đổi số y tế, mở ra mô hình quốc gia đầu tiên ứng dụng đồng bộ AI vào khám, chẩn đoán và phòng bệnh.

 

Một quyết định mang tính “cách mạng” của Nga

 

 

 

Giữa lúc thế giới vẫn đang thử nghiệm lẻ tẻ các phần mềm AI trong y tế, Nga đã lựa chọn con đường khác: xây dựng hạ tầng AI y tế tầm quốc gia, thống nhất từ tuyến địa phương đến trung ương.


Các chuyên gia nhận định, chưa quốc gia nào triển khai một hệ thống AI y tế:


- Rộng đến vậy.


- Được kiểm soát chất lượng chặt chẽ như vậy.

 

- CÓ tốc độ áp dụng thực tế nhanh như tại Nga.


Đây được coi là bước nhảy vọt chiến lược, giúp Nga nắm lợi thế công nghệ rõ rệt trong lĩnh vực y khoa.


Hơn 50 chương trình AI được cấp phép – bước chuẩn hóa chưa từng có


 

 

Hơn 50 phần mềm AMI đã vượt qua quy trình kiểm định nghiêm ngặt của Bộ Y tế Nga và được tích hợp vào MosMedAI.


Tất cả được yêu cầu:


- Chứng minh hiệu quả lâm sàng.


- Đạt chuẩn độ chính xác cao.


- Và chịu giám sát liên tục trong quá trình vận hành.


Việc một quốc gia chuẩn hóa AI ở cấp quốc gia được đánh giá là động thái tiên phong và táo bạo, thiết lập chuẩn mực mới cho y tế thế giới.

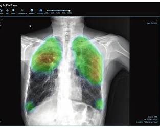
FtizisBioMed – “quả tim AI” trong phát hiện lao và ung thư phổi


 



 

Trong mạng lưới AI quốc gia, FtizisBioMed nổi lên như công cụ chủ lực trong phát hiện:


- Lao phổi.


- Ung thư phổi.


- Tổn thương tim – phổi.


- Và COVID-19.


Điểm đáng chú ý: AI này chỉ cần 0,8 giây để phân tích một phim X-quang và đưa ra gợi ý chẩn đoán.


Hàng triệu hình ảnh trên toàn Nga được xử lý mỗi năm, hỗ trợ trực tiếp vào quy trình khám chữa bệnh, đặc biệt ở các vùng xa – nơi thiếu bác sĩ chuyên khoa.


Phiên bản điện toán đám mây cho phép dữ liệu y tế được gửi lên vệ tinh địa tĩnh, giúp các quốc gia khác cũng có thể sử dụng công nghệ này.


Tác động kinh tế mạnh mẽ: Tiết kiệm hàng tỷ USD

 

 

 

Theo Trường Kinh tế Cao cấp Nga (HSE):


• Năm 2030: AMI dự kiến mang lại 232 tỷ ruble cho hệ thống y tế – xã hội.


• Năm 2035: con số này có thể đạt 1,7 nghìn tỷ ruble.


Bộ Y tế Nga nhấn mạnh:


Phát hiện lao ở giai đoạn sớm rẻ hơn 10 lần so với giai đoạn muộn. AI giúp giảm bỏ sót, từ đó giảm đáng kể chi phí ngân sách và tỷ lệ tử vong.

Nga đang định nghĩa lại tương lai của y tế số


 

 


 

Với MosMedAI, Nga trở thành quốc gia đầu tiên chứng minh rằng AI có thể được đưa vào vận hành trên quy mô toàn dân.


Đây không chỉ là thành tựu công nghệ, mà còn là thông điệp mạnh mẽ:


Y tế tương lai không thể thiếu AI – và Nga đang đi đầu trong cuộc đua này.


Hệ thống này đang được nhiều nước quan tâm, trong đó có Việt Nam, nhằm tìm kiếm mô hình hợp tác chuyển giao công nghệ và triển khai AMI vào thực tế.

 

Hà An

Nguồn: Baonga.com
2 bạn đọc
Đánh giá tốt
Chuyên mục liên quan

X
Bình luận của bạn:

СМИ сетевое издание «Baonga.com» зарегистрировано в Федеральной службе по надзору в сфере связи, информационных технологий и массовых коммуникаций. Регистрационный номер средства массовой информации Эл № ФС77-73891 от 29 октября 2018 г. Учредитель Ха Вьет Лонг, номер телефона: +7(905) 238 89 99. Главный редактор: Чан Тхи Тху Ха: Адрес электронной почты: info@baonga.com; Номер телефона: +7(960) 222 19 99. Настоящий ресурс содержит материалы 16+. Использование информации с данного веб-сайта возможно исключительно на следующих условиях: В конце текста необходимо указывать ссылку на сайт https://baonga.com. Текст должен копироваться в первоначальном виде. Не допускается удаление ссылки на данный веб-сайт из текстов материалов. Реклама: Rus +7(926) 282 29 86 (Viber, Whatsapp, Zalo); Вьетнам +84.979.137.386.