Chuyên mục
Trí tuệ nhân tạo y học - yếu tố then chốt của y tế số ở đẳng cấp toàn cầu

Trí tuệ nhân tạo y học - yếu tố then chốt của y tế số ở đẳng cấp toàn cầu

Thứ hai 29/12/2025 22:32 GMT + 7

Quá trình chuyển đổi sang y tế số đang phát triển nhanh chóng tại phần lớn các quốc gia trên thế giới và đã trở thành một xu hướng chiến lược mang tính toàn cầu. Trong bối cảnh này, vai trò trung tâm trong y tế số thuộc về việc ứng dụng các chương trình trí tuệ nhân tạo y học (AI y tế), đặc biệt dưới dạng các hệ thống hỗ trợ ra quyết định lâm sàng cho bác sĩ.


Hiện nay, các hệ thống hỗ trợ ra quyết định lâm sàng dựa trên trí tuệ nhân tạo y học được coi là một trong những công cụ hiệu quả nhất dành cho đội ngũ nhân viên y tế, giúp nâng cao độ chính xác của chẩn đoán, tối ưu hóa các chiến lược điều trị, cải thiện kết quả điều trị cho bệnh nhân và giảm chi phí điều trị.

Vai trò của trí tuệ nhân tạo y học trong phát triển kinh tế – xã hội và y tế

 

 Trí tuệ nhân tạo y học đang trở thành một trong những công nghệ quan trọng nhất mà nhân loại có thể tiếp cận trong thời đại hiện nay. Việc ứng dụng trí tuệ nhân tạo y học:


• góp phần thúc đẩy tăng trưởng kinh tế toàn cầu;


• đẩy nhanh đổi mới sáng tạo trong tất cả các lĩnh vực khoa học;


• cải thiện chất lượng cuộc sống của người dân;


• nâng cao khả năng tiếp cận và chất lượng dịch vụ y tế;


• nâng cao chất lượng giáo dục;


• gia tăng năng suất lao động cũng như chất lượng nghỉ ngơi và phục hồi của con người.


Việc duy trì và phát triển vị thế dẫn đầu trong lĩnh vực công nghệ trí tuệ nhân tạo cho phép các quốc gia đạt được những thành tựu đáng kể trong các lĩnh vực then chốt của phát triển kinh tế – xã hội bền vững.


Trí tuệ nhân tạo y học trong việc nâng cao chất lượng chăm sóc y tế

 

 Một trong những nhiệm vụ quốc tế và xuyên quốc gia quan trọng hiện nay là nâng cao chất lượng dịch vụ y tế ở tất cả các giai đoạn điều trị cho bệnh nhân. Điều này bao gồm:


• sàng lọc và phòng ngừa bệnh tật;


• chẩn đoán bệnh, đặc biệt là chẩn đoán dựa trên phân tích hình ảnh y học;


• dự báo nguy cơ khởi phát và tiến triển của bệnh;


• lựa chọn liều lượng thuốc tối ưu cho từng bệnh nhân;


• giảm thiểu nguy cơ bùng phát các đại dịch;


• tự động hóa và nâng cao độ chính xác của các can thiệp phẫu thuật.


Trong bối cảnh này, các giải pháp dựa trên trí tuệ nhân tạo y học đóng vai trò then chốt như một công cụ hỗ trợ bác sĩ đưa ra các quyết định chính xác, kịp thời và dựa trên dữ liệu.


Mục tiêu và sứ mệnh của dịch vụ FthizisBioMed


Dịch vụ FthizisBioMed được phát triển nhằm đáp ứng các yêu cầu cốt lõi của y tế số hiện đại. Các mục tiêu và nhiệm vụ chính của dịch vụ bao gồm:


• tích hợp liền mạch các mô-đun trí tuệ nhân tạo y học vào các hệ thống thông tin hiện có của các cơ sở y tế;


• giảm thiểu ảnh hưởng của các yếu tố chủ quan và sai sót do con người trong quá trình chẩn đoán;


• tối ưu hóa khối lượng công việc cho các bác sĩ chẩn đoán hình ảnh (bác sĩ X-quang);


• nâng cao độ chính xác và độ tin cậy của các kết luận chẩn đoán;


• tự động hóa quy trình phân tích ban đầu các phim X-quang, hỗ trợ xử lý khối lượng lớn hình ảnh;


• nâng cao hiệu quả chẩn đoán sớm bệnh tật;


• bảo đảm khả năng phát hiện một phổ rộng các dấu hiệu bệnh lý trên hình ảnh y học.


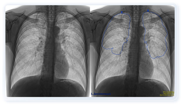
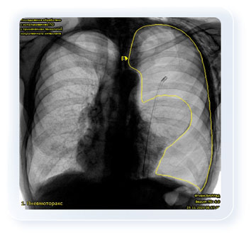
Dịch vụ FthizisBioMed cung cấp khả năng chẩn đoán tự động các bệnh lý của cơ quan lồng ngực như: lao, ung thư, bệnh tim mạch, COVID-19 và các bệnh khác với độ chính xác rất cao. Thời gian phân tích một ảnh chụp X-quang hoặc phim chụp huỳnh quang của dịch vụ FthizisBioMed là 0,8 giây.


Dịch vụ có thể được sử dụng dưới hình thức điện toán đám mây. Điều này có nghĩa là bất kỳ bác sĩ X-quang nào tại bệnh viện ở Việt Nam đều có thể, từ thiết bị X-quang của mình, gửi hình ảnh chụp qua internet lên nền tảng đám mây và trong vòng 15–20 giây sẽ nhận được các khuyến nghị chẩn đoán từ dịch vụ FthizisBioMed cho bệnh nhân của mình.


Kết quả hoạt động của dịch vụ FthizisBioMed


Chỉ riêng trong năm 2025, với sự hỗ trợ của dịch vụ FthizisBioMed, tại Nga đã xử lý thành công 5,5 triệu phim X-quang và phim huỳnh quang. Giải pháp này đã trở thành một công cụ quan trọng trong hệ sinh thái y tế số của Liên bang Nga, góp phần nâng cao chất lượng chẩn đoán, tối ưu hóa nguồn lực y tế và hỗ trợ các bác sĩ trong thực hành lâm sàng hằng ngày.

 



 

Tác giả: Mikhail Yakovlevich Natenson

MICHAEL YAKOVLEVICH NATENZON

(Mikhail Yakovlevich Natenson)

 

Chức vụ hiện tại

  • Chủ tịch Hội đồng Quản trị, Tổ hợp Khoa học – Sản xuất“Cơ quan Telemedicine Quốc gia”(National Telemedicine Agency), Liên bang Nga

Vai trò trong các tổ chức chuyên môn và ngành

  • Ủy viên Hội đồng,Liên hiệp Telemedicine Liên bang Nga(Russian Telemedicine Consortium)
  • Thành viên,Hội đồng xã hội – doanh nghiệptrực thuộcChính phủ Liên bang Ngavề chuẩn bị và triển khaiDự án quốc gia “Y tế”(National Project “Healthcare”)
  • Phó Chủ tịch,Hiệp hội phi lợi nhuận “Hiệp hội quốc tế các nhà phát triển, sản xuất và người sử dụng thiết bị y tế”(International Association of Medical Technology Developers, Manufacturers & Users)

Hoạt động hợp tác quốc tế và tiêu chuẩn hóa

  • Phó Trưởng Nhóm công tác Telemedicine,ITU-D–Liên minh Viễn thông Quốc tế (International Telecommunication Union, ITU)
  • Phó Trưởng Nhóm công tác khu vực về Telemedicine,Cộng đồng Thông tin – Truyền thông khu vực các nước SNG/CIS(Regional Commonwealth in the Field of Communications)
  • Thành viên,Nhóm chuyên gia Telemedicine của các nước BRICS
  • Thành viên,Ủy ban Kỹ thuật Tiêu chuẩn hóa số 164 – “Trí tuệ Nhân tạo”
  • Thành viên,Ủy ban Kỹ thuật Tiêu chuẩn hóa số 468 – “Tin học hóa Y tế”
  • Thành viên,Nhóm chuyên gia ISO/IECxây dựng tiêu chuẩnTrí tuệ nhân tạo y tế
    (ISO/IEC JTC 1/SC 42/JWG 3 – Joint Working Group on AI)

Hoạt động hợp tác kinh tế quốc tế

  • Thành viên,AfroComm– Ủy ban điều phối về hợp tác kinh tế với các quốc gia châu Phi

Học hàm / học vị

  • Phó Tiến sĩ Khoa học Kỹ thuật (Ph.D. equivalent)
  • Nghiên cứu viên cao cấp,Viện Hàn lâm Khoa học Nga (Russian Academy of Sciences)

 

Để nhận tài liệu chi tiết (Trí tuệ nhân tạo y tế - PhthisisBioMed dành cho phân tích tự động
các ảnh X-quang kỹ thuật số các cơ quan lồng ngực / ảnh fluorography) liên hệ qua email: info@baonga.com

 

Nguồn: Baonga.com
0 bạn đọc
Đánh giá tốt
Chuyên mục liên quan

X
Bình luận của bạn:

СМИ сетевое издание «Baonga.com» зарегистрировано в Федеральной службе по надзору в сфере связи, информационных технологий и массовых коммуникаций. Регистрационный номер средства массовой информации Эл № ФС77-73891 от 29 октября 2018 г. Учредитель Ха Вьет Лонг, номер телефона: +7(905) 238 89 99. Главный редактор: Чан Тхи Тху Ха: Адрес электронной почты: info@baonga.com; Номер телефона: +7(960) 222 19 99. Настоящий ресурс содержит материалы 16+. Использование информации с данного веб-сайта возможно исключительно на следующих условиях: В конце текста необходимо указывать ссылку на сайт https://baonga.com. Текст должен копироваться в первоначальном виде. Не допускается удаление ссылки на данный веб-сайт из текстов материалов. Реклама: Rus +7(926) 282 29 86 (Viber, Whatsapp, Zalo); Вьетнам +84.979.137.386.