Chuyên mục
Giải quyết dứt điểm các vấn đề răng miệng: Để mỗi bữa cơm tại Nga đều tròn vị

Giải quyết dứt điểm các vấn đề răng miệng: Để mỗi bữa cơm tại Nga đều tròn vị

Thứ sáu 23/01/2026 10:43 GMT + 7

Với người Việt đang sinh sống tại Nga, bữa cơm gia đình không đơn thuần là ăn uống. Đó là khoảnh khắc giữ nhịp văn hóa, là nơi hương vị quê hương giúp xoa dịu nỗi nhớ nhà sau những ngày làm việc trong khí hậu lạnh giá. Thế nhưng, chỉ cần một chiếc răng đau, ê buốt hay viêm nướu kéo dài, cảm giác “ngon miệng” ấy cũng dần biến mất.


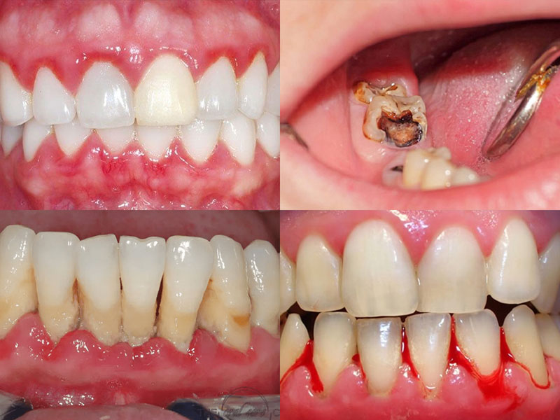
Nỗi lo răng miệng của người Việt tại xứ sở Bạch Dương

 

 Đặc thù khí hậu lạnh, thực đơn giàu đạm, thói quen uống trà nóng hay cà phê đậm của cộng đồng người Việt tại Nga khiến sức khỏe răng miệng dễ bị tổn thương. Các vấn đề phổ biến như mòn men răng, viêm nướu, tụt lợi hoặc đau răng tái phát theo mùa thường xuyên xuất hiện.

 


Nhiều người chọn cách chịu đựng hoặc dùng thuốc giảm đau tạm thời vì nghĩ rằng “chưa đến mức nghiêm trọng”. Tuy nhiên, theo các chuyên gia, những triệu chứng âm ỉ đó chính là dấu hiệu của bệnh lý cần được xử lý triệt để. Một ổ viêm nhỏ nếu không điều trị đúng cách có thể lan rộng, gây ảnh hưởng đến khả năng nhai, giấc ngủ và sức khỏe toàn thân, khiến chất lượng cuộc sống giảm sút đáng kể.


Lựa chọn tối ưu: Điều trị dứt điểm khi về thăm quê hương


Ngày càng nhiều người Việt tại Nga lựa chọn chủ động kiểm tra và điều trị răng miệng trong các kỳ nghỉ về Việt Nam. Lý do không chỉ nằm ở sự thuận lợi trong giao tiếp, mà còn ở khả năng trao đổi chi tiết để xây dựng lộ trình điều trị phù hợp với lịch sinh hoạt dài hạn tại nước ngoài.

 



Thực tế cho thấy, các vấn đề như điều trị tủy, phục hồi răng mòn hay chỉnh khớp cắn nếu được xử lý đúng ngay từ đầu sẽ giúp tình trạng răng miệng ổn định trong nhiều năm. Điều này đặc biệt quan trọng với những người sống xa quê, vốn khó sắp xếp thời gian để điều trị nhiều lần.


Jet Dentist: Giải pháp nhanh chóng, hiệu quả cho Việt kiều Nga

 

 Trong số các cơ sở nha khoa uy tín, Jet Dentist nổi lên như một địa chỉ tin cậy, tập trung vào điều trị tận gốc thay vì chỉ xử lý bề mặt. Nhiều khách hàng từ Nga chia sẻ họ đánh giá cao cách các bác sĩ tại đây phân tích nguyên nhân, dự báo rủi ro và đề xuất phác đồ điều trị thực tế, tôn trọng thời gian lưu trú ngắn ngày của khách.

 


Chăm sóc răng miệng chính là đầu tư cho chất lượng cuộc sống và sự ngon miệng trong mỗi bữa ăn. Tại Jet Dentist, chúng tôi chú trọng vào việc xử lý tận gốc vấn đề bằng các công nghệ hiện đại giúp tiết kiệm tối đa thời gian cho khách hàng, đặc biệt là những người sống xa quê hương cần tranh thủ từng ngày nghỉ. Với mức chi phí tối ưu đi kèm dịch vụ tận tâm, Jet Dentist giúp bạn gạt bỏ hoàn toàn nỗi lo về sự chờ đợi mệt mỏi hay những quy trình rườm rà.


Giải quyết dứt điểm các vấn đề răng miệng tại Jet Dentist là cách để bạn tận hưởng cuộc sống tại Nga một cách tự tin nhất. Răng khỏe mạnh giúp bữa cơm nơi xứ người thêm tròn vị, để mỗi lần trở lại, bạn không chỉ mang theo nỗi nhớ quê hương mà còn mang theo sự an tâm tuyệt đối về sức khỏe của mình.


Nguồn: Jet Dentist
0 bạn đọc
Đánh giá tốt
X
Bình luận của bạn:

СМИ сетевое издание «Baonga.com» зарегистрировано в Федеральной службе по надзору в сфере связи, информационных технологий и массовых коммуникаций. Регистрационный номер средства массовой информации Эл № ФС77-73891 от 29 октября 2018 г. Учредитель Ха Вьет Лонг, номер телефона: +7(905) 238 89 99. Главный редактор: Чан Тхи Тху Ха: Адрес электронной почты: info@baonga.com; Номер телефона: +7(960) 222 19 99. Настоящий ресурс содержит материалы 16+. Использование информации с данного веб-сайта возможно исключительно на следующих условиях: В конце текста необходимо указывать ссылку на сайт https://baonga.com. Текст должен копироваться в первоначальном виде. Не допускается удаление ссылки на данный веб-сайт из текстов материалов. Реклама: Rus +7(926) 282 29 86 (Viber, Whatsapp, Zalo); Вьетнам +84.979.137.386.